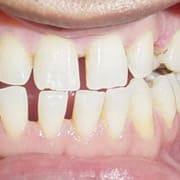
Маскируют неровные зубы или большие промежутки между зубами
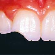
Скрывают отсутствие одного или несколько зубов, сколотые зубы
Помогают скрыть потемневшие или утратившие былую белизну зубы
Исправляют прикус и выравнивают зубы
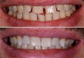
Сломанные, кривые, отсутствующие зубы спереди не добавляют нам всем привлекательности и отталкивают от нас людей. Именно поэтому мы стараемся как можно меньше улыбаться и не показывать свои передние зубы.

Snap-On Smile – уникальное приспособление, которое сделает вашу улыбку неотразимой. С помощью него вы перестанете стесняться своих зубов и сможете улыбаться так часто, как этого захотите.
Ваша улыбка будет нравиться всем!




Snap-On Smile – качественные и удобные съемные виниры, простые в использовании и подходящие каждому, представляющие собой мостовидную конструкцию, опирающуюся на естественные зубы, не подвергая их обтачиванию.
Конструкция сделана из тонкого, прочного и устойчивого материала, не восприимчивого к таким веществам, как чай, кофе, сигаретный дым. Snap-On Smile можно пользоваться как долгое время (годами!), так и более короткий срок, используя в качестве легкой и удобной конструкции, временно заменяющей зубы в период постоянного протезирования.
Система винир-элайнеров легка в использовании, для этого есть всё необходимое в комплекте. Это конструкция, которая при первом применении повторяет форму ваших зубов, а впоследствии за счет этого надежно закрепляется на зубах. Она настолько удобна, что уже через 10 минут после вставки, вы перестаете ее замечать.
Никто и никогда, не зная Вас, не догадается, что это виниры, а не ваши настоящие красивые зубы.

Snap-On Smile является запатентованным продуктом американской компании Align Technology, которая существует с 1998 года.
Это единственная в мире система, которая изготавливается на одном заводе с использованием высокотехнологичного оборудования и инновационных технологий. При этом большинство других виниров делают кустарным способом в условиях обычной зуботехнической лаборатории.
Благодаря технологичному производству и использованию уникальных материалов виниры-элайнеры Snap-On Smile не только эстетичны и удобны в ношении, но и обладают такой же высокой степенью эффективности, как и брекет-системы.
Snap-On Smile – простые и удобные съемные виниры, которые подходят каждому. Они настолько удобны, что уже через 10 минут после вставки, вы перестаете их замечать. Никто и никогда, не зная вас, не догадается, что это виниры, а не ваши настоящие красивые зубы.
Snap-On Smile не требуют обточки зубов, не вредят эмали и деснам. Они производятся из сверхтонкого и сверхпрочного медицинского полипропилена. Это очень надежный материал, который не теряет своей привлекательности и прочности на протяжении десятков лет.
Всего 3 простых шага и ваша улыбка станет неотразимой!
Опустите накладки на 2 минуты в горячую воду
Плотно прижмите к наружной стороне зубов
Улыбайтесь как можно чаще, ведь красивая улыбка идет всем!
«Зубы у меня разрушились передние, а задние вырвала по молодости. Ходила к врачу, тот сказал не меньше ста тысяч надо на протезирование От таких цен волосы встали дыбом. Таких денег у меня нет, но и без зубов ходить не могу, стыдно род открыть. А тут сын жениться надумал. Вот как на свадьбу идти с такими зубами? Хорошо что узнала про эти виниры. Как увидела Snap-On Smile, сразу заказала. Наконец-то мне не стыдно рот открыть и с людьми разговаривать. Виниры не мешают есть и речь не портят. Всем, у кого передние зубы в не очень хорошем состоянии я их рекомендую.»
«Понравились виниры Snap-On Smile. Хорошо встали и смотрятся просто прекрасно. Последние годы очень стесняюсь своих зубов, всю жизнь боялась стоматологов и вот результат. Зубы наполовину разрушенные, желтые, кривые, улыбнуться стыдно. Но теперь у меня красивая улыбка и за небольшие деньги. «Сидят» виниры действительно очень удобно и практически не ощущаются. Легко моются в обычной горячей воде. В общем, отличное решение по сравнению с дорогими протезами.»
«С возрастом потерял несколько зубов, в том числе боковой. Не мог нормально улыбнуться. В особо важных случаях Snap-On Smile очень выручает. Пользуюсь им уже 2 года – купил друг в США в качестве подарка. Каких-либо недостатков за это время не обнаружил. Увидев русский сайт, решил обновить виниры. Пришли такие же, как у меня и были. Покупкой доволен».

Вы оставляете заявку
на нашем сайте

Мы перезваниваем вам
для оформления заказа

Доставляем ваш заказ
Казпочтой

Оплачиваете при
получении товара